There has been a significant increase in recent weeks! The professor announced: "There is a triple epidemic in our country, be careful."

Prof. Dr. Özkaya, drawing attention to recent weather conditions, said, "Due to the influence of a climate that is a mixture of autumn and summer, we experience sudden temperature changes throughout the day. We experience four seasons simultaneously in the same day. This weakens the immune system, and illnesses that begin with flu- like symptoms become prolonged due to the effects of three different viruses."
"FRANKENSTEIN VARIANT SEEN IN Türkiye"Prof. Dr. Özkaya stated that the new strain of COVID-19 , dubbed the "Frankenstein variant," has also been seen in Turkey, saying, "There is no critical or life-threatening condition among our current patients. However, we know that this variant is highly contagious and is spreading rapidly in Europe and Asia."

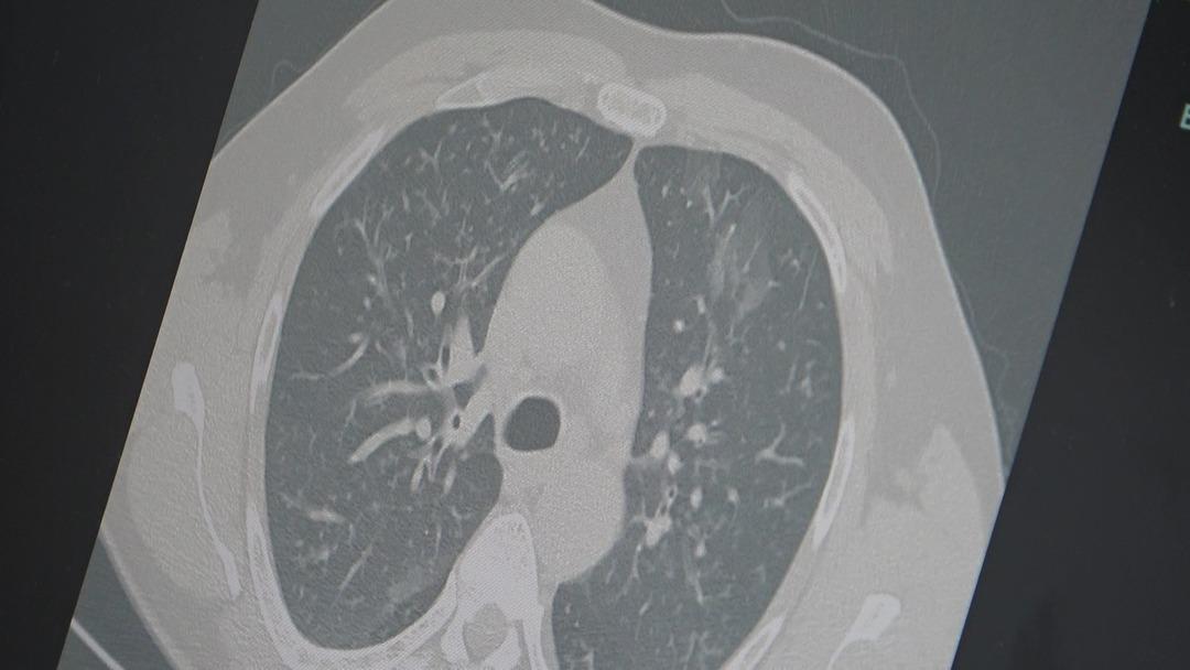
Dr. Özkaya emphasized that flu and COVID-19 carry the risk of turning into pneumonia, saying, "In many of our patients, the disease progresses to the lungs after flu or COVID-19 and presents as pneumonia. We are also observing an increase in the number of hospitalized patients."

Özkaya, noting that the pandemic spreads insidiously without disrupting daily life, said, "While the flu and COVID-19 are no longer severe enough to confine us to bed, they make it difficult to carry out our daily tasks. The virus continues to circulate in society, even when a person is neither fully ill nor fully well. Cases that do not rest and do not isolate continue the chain of transmission."

Prof. Dr. Özkaya made the following recommendations to citizens:
"We recommend that our citizens with even the slightest flu-like symptoms rest at home. Those experiencing a prolonged cough and shortness of breath should definitely consult a doctor, get a chest X-ray, and receive appropriate treatment." Source: İHA
mynet




